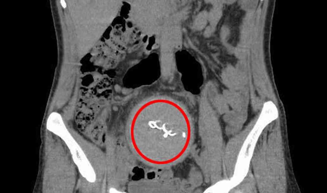
Antalya’da, 2021 yılında özel bir hastanede sezaryenle doğum yapan Y.S. (34), 2 yıl süresince yaşadığı ağrılar ve iltihap akıntısı nedeniyle şok edici bir gerçekle karşılaştı. Y.S., hastaneye başvurduğunda yapılan tomografi sonucunda, doğum sırasında vücudunda unutulan yaklaşık 30 santimetre uzunluğunda bir gazlı bezin kaldığı tespit edildi.
Doğum Sonrası Ağrı ve İltihap
Y.S., doğum sonrası yaşadığı şiddetli ağrı ve iltihap nedeniyle hastaneye tekrar başvurdu. İlk başvurularında, doğumunu yapan doktoru D.A., durumun normal olduğunu belirterek tedaviye devam etti. Ancak ağrılar ve iltihaplar geçmeyince Y.S. başka hastanelere başvurdu, ancak çözüm bulamadı. 2 yıl süren sıkıntılarının ardından 2023 yılında Antalya Eğitim ve Araştırma Hastanesi’ne başvuran Y.S., burada yapılan tomografide, doğum sırasında unutulan gazlı bezin vücudunda kaldığı ortaya çıktı. Y.S., bu ihmalin tıbbi hataya yol açtığını belirterek hastane ve sorumlu doktorlar hakkında savcılığa suç duyurusunda bulundu.
Sağlık Bakanlığı’ndan Soruşturma İzni
Y.S.’nin başvurusu sonrası, Sağlık Bakanlığı konuya ilişkin soruşturma izni verdi. Bakanlık, dosyada adı geçen sağlık personelinin ifadelerine başvurdu. Doktor D.A., doğumun sorunsuz bir şekilde gerçekleştiğini ve malzeme sayımının tam olduğunu belirtti. D.A., “Gazlı bezin vücutta kalması steril olduğundan hastaya zarar vermemiştir” dedi. Ancak radyolog doktor E.B., gazlı bezin zamanında fark edilmediğini ve bu ihmalin tanısal gecikmeye yol açtığını ifade etti.
Tanısal Gecikme ve İhmaller
Ameliyat sonrası malzeme sayımı ve raporlama konusunda eksiklikler olduğu ifade edilirken, hastanın vücudunda unutulan yabancı cismin, bağırsak tıkanıklığına neden olduğu ve bu durumun tanısal gecikmeye yol açtığı belirtildi. Sağlık Bakanlığı tarafından yapılan incelemede, 4 sağlık personelinin eylemlerinin adli mercilerle aydınlatılmasına karar verildi. Bu personeller arasında doğum yapan doktor D.A., ameliyathane hemşiresi Ö.Ö. ve diğer uzman doktorlar yer aldı.
